Oggi voglio parlarti di una patologia che ho imparato ad apprezzare e temere allo stesso tempo:
La Malattia parodontale
O, come forse la chiamavano i tuoi nonni, la Piorrea!
Forse non lo sai, ma si tratta di una delle patologie più diffuse e ahimè, piuttosto sottovalutata!
Secondo uno studio condotto dalla Società Italiana di Parodontologia e Implantologia (SIdP), la malattia parodontale colpisce circa il 77% della popolazione.
Ciò significa che la maggior parte delle persone ha almeno un sintomo di questa patologia, anche se spesso non se ne rende conto.
Infatti, uno dei problemi più grandi è che si tratta di una patologia silente, cioè non dà dolore.
Una delle peggiori conseguenze della malattia parodontale è la perdita del supporto osseo e l’aumento della mobilità dei denti, fino ad arrivare alla loro perdita!
Il paziente che dice “io faccio l’igiene una volta all’anno” o peggio ancora “quando me lo ricordo” è un paziente che nel futuro è destinato a perdere i denti!
Tra i fattori di rischio, ma anche vizi, abitudini o condizioni predisponenti lo sviluppo e peggioramento della malattia i più comuni sono:
- Scarsa igiene orale;
- Avere uno o più familiari che hanno avuto la piorrea;
- Fumo di sigarette (soprattutto dalle 10 in sù);
- Assunzione di farmaci che incidono sul corretto funzionamento del sistema immunitario.
Certamente ci sono delle variabili soggettive: alcuni pazienti sono più predisposti di altri a questa malattia.
Tendenzialmente però l’essere umano è predisposto a produrre placca batterica, per via degli alimenti che ingerisce – soprattutto contenenti una maggiore quantità di zucchero (approfondirò questo aspetto in un altro articolo…)
E il proliferare dei batteri nella bocca comporta il fatto che il paziente inizialmente tenderà ad avere “solo” una gengivite, ovvero un’infiammazione delle gengive. Si tratta di uno dei primi segnali che ci fa rendere conto di essere in presenza di una possibile malattia parodontale.
Tra gli altri sintomi troviamo:
- Sanguinamento durante lo spazzolamento.
- Avere l’alito pesante, la cosiddetta “alitosi”.
- Recessione gengivale (denti più lunghi) a causa di perdita dell’osso di supporto…
In presenza di questi segnali è importate porre rimedio quanto prima, per questo la prevenzione è così importante!
Una corretta igiene orale domiciliare riveste un ruolo fondamentale, ma non basta per mantenere la salute del cavo orale; bisogna fare visite periodiche dal dentista e fare delle sedute specialiste almeno 2-3 volte all’anno.
È molto più semplice e meno doloroso curare una malattia parodontale in fase iniziale piuttosto che curarla quando è in uno stadio avanzato.
Nei 30 anni della mia esperienza ho avuto l’opportunità di assistere molte persone colpite dalla malattia parodontale e di salvare i loro denti grazie all’adozione di protocolli adeguati. In particolare, ho notato che l’intercettazione precoce dei primi segni della malattia, specialmente in adolescenza, può prevenire l’insorgere di ripercussioni negative sulla salute orale che si manifestano solitamente tra i 35 e i 40 anni…
Nel prossimo articolo ti parlerò di come si svolge la terapia parodonale e quali protocolli seguiamo in studio.
Per ora spero di averti dato le giuste informazioni su questa comunissima (e spesso sottovalutata) patologia.
Consiglio:
Dopo aver letto questo articolo, vai davanti allo specchio e prova a vedere se hai le gengive gonfie, arrossate, se è presente un sanguinamento e ispeziona attentamente la bocca, spostando la guancia con un dito, per individuare l’eventuale presenza di tartaro o di macchioline sui denti.
Qualora notassi alcuni di questi di questi segnali non esitare a contattarci per prenotare una visita di controllo in studio.
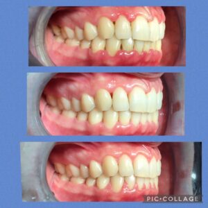
CASO CLINICO
Ragazzo maschio di 30 anni: No fumatore, ultima igiene fatta 3 anni prima.
Presentava una grave infiammazione, recessioni e presenza di spazi neri dovuti al riassorbimento osseo.
L’ultima immagine è successiva a 2 anni di controlli, perfettamente recuperato. Fa igiene regolare ogni 4 mesi.
Dott.ssa Francesca Romana Nardelli
P.s. Se trovi utili queste informazioni e vuoi scoprire di più sul mio metodoAPE che ha già aiutato centinaia di bambini e adulti a superare la paura del dentista e a prendersi finalmente cura della propria salute orale…
Iscriviti alla newsletter nel box che trovi qui sotto: riceverai una sorpresa speciale che ho deciso di dedicarti.



